单精注射

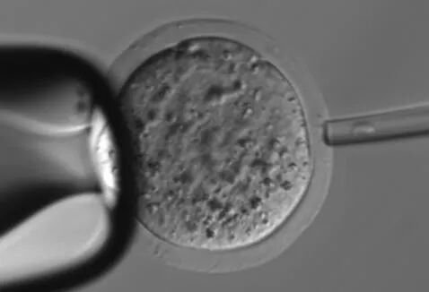
单精子显微注射技术(简称ICSI,即Intracytoplasmic sperm injection的英文缩写)指胞浆内单精子显微注射技术该技术是借助显微操作系统将单个精子头注入小鼠卵子胞浆内,使卵子受精,体外培养到早期胚胎,再放回母体子宫内发育着床。在临床上,ICSI即第二代“试管婴儿技术”具体图示请见下方。


图片


优势一 : 精简受精历程,每枚卵子只需要注射一枚精子,避免多精受精,跨过了精子与卵子自然结合受精或IVF过程中精子获能、受体识别、顶体反应等一系列过程,缩短了卵子受精历程(宛如哪吒的乾坤天降);图片


优势二 : 让精子起死回生,成功获取后代:对精子活力要求低,没有活力甚至是死精子,只要具有遗传的完整性,就可以用于ICSI(赤果果苏烈的复生);


图片

图左:用于ICSI注射的小鼠精子

图片

图右:通过ICSI技术获得的小鼠




A、雄性繁殖障碍且IVF失败的品系


自然交配中,生殖器异常、精子畸形、精子密度低、活力低下、营养不良或过度肥胖等都会造成雄性小鼠不育,基因改造过的目的雄性小鼠不育现象更是屡见不鲜,采用ICSI技术可以挽救这种品系,成功获得后代。


补充一下:一般判断是因雄鼠原因造成繁育困难的。


连招技巧为:一技能(人工授精)---二技能(体外受精)----三技能(单精注射)


B、冷冻复苏后IVF失败的品系


部分冷冻小鼠品系,复苏后精子活力不佳,甚至完全死亡,无法通过IVF技术获得后代的,只要遗传物质没有被破坏,同样可以通过ICSI技术解决。


C、满足不同的科研需求


进行ICSI的同时可以一起导入其它外源物质,满足您不同的科研需求,带你成功推塔。


导航栏目

新闻中心

联系我们

联系人:武潮

手 机:18875111855

邮 箱:ch.wu@baizegene.com

公 司:重庆白泽生物科技有限责任公司

地 址:重庆市荣昌区昌州街道向阳路178号